Top Podiatrist Manalapan NJ

Advanced, Minimally Invasive Foot & Ankle Care

Give Us A Call Today!

Surgical Intervention at Stepwell Institute | New Jersey Podiatry Excellence

At Stepwell Institute, we recognize that while conservative treatments are always our first choice, some conditions require a structural solution to achieve lasting relief. Our facility is dedicated to providing New Jersey residents with a higher standard of surgical intervention, ranging from minimally invasive procedures to complex reconstructive surgery. Led by Dr. Yakov, our surgical team combines years of clinical expertise with the latest operating technology to ensure the highest safety standards and the best possible outcomes. Whether you require a routine correction or a specialized repair, Stepwell Institute offers a state-of-the-art environment in NJ where your surgical success and recovery are our top priorities.

Stepwell Institute — Patient-Rated 5.0

Get a Callback Now

We'd Love to Connect.

Request a Free Discovery Call

Name
Checkboxes

Comprehensive Surgical Care: The Stepwell Institute Approach

Surgical Intervention at Stepwell Institute is never a “one-size-fits-all” solution. We view surgery as a precise tool used to restore the natural biomechanics of the foot and ankle when non-invasive methods have reached their limit. Our philosophy centers on individualized surgical planning—using advanced imaging to map out the procedure before you ever enter the operating room. From correcting bunions and hammertoes to performing ligament repairs and fracture fixations, Dr. Yakov utilizes techniques designed to minimize trauma to the surrounding tissues, thereby reducing the risk of complications and ensuring a more stable, long-term result for our patients.

Identifying the Need: When Surgery is the Right Choice in NJ

Knowing when to transition to surgical care at Stepwell Institute is a collaborative decision between you and Dr. Yakov. If you live in the New Jersey area, you should consider a surgical consultation if you experience persistent pain that has failed to respond to orthotics, injections, or physical therapy, or if a deformity is significantly limiting your mobility. Many of our patients seek surgical intervention for conditions that have become “rigid,” such as advanced arthritis or severe tendon tears, which cannot be managed with conservative tools alone. If your foot or ankle condition is preventing you from working, exercising, or enjoying daily life, a professional evaluation at Stepwell Institute is necessary to discuss your surgical options.

Advanced Technology and Faster Recovery Through Innovation

Stepwell Institute distinguishes itself by offering NJ patients access to the most advanced surgical modalities in modern podiatry. We specialize in Surgical Intervention, which utilize smaller incisions and specialized instruments to reduce post-operative pain and scarring. For more complex cases, we employ 3D-printed surgical guides and biological grafts to enhance the body’s natural healing ability. By choosing Stepwell Institute, you benefit from a specialized recovery plan where Dr. Yakov and our team prioritize early, safe mobilization. Our goal is to provide a definitive surgical solution that allows you to return to the active New Jersey lifestyle you love with confidence and strength. confidence and strength.

What are some different types of Surgical Interventions?

  • Corrective Surgeries
  • Reconstructive Surgeries
  • Hardware Removal Surgeries
  • Decompression Surgeries

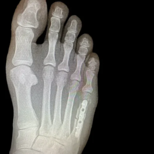
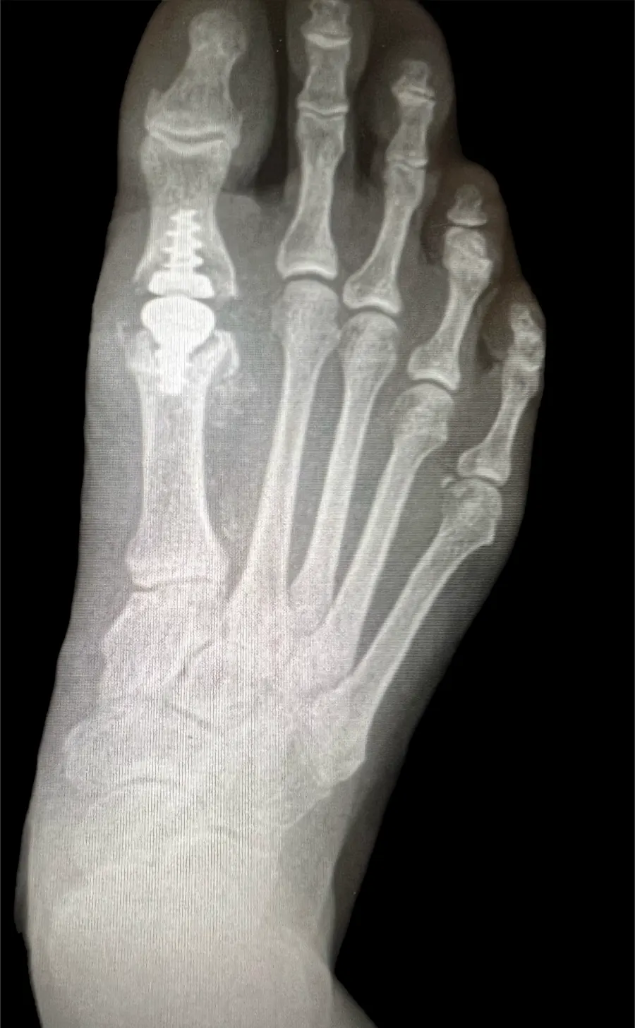
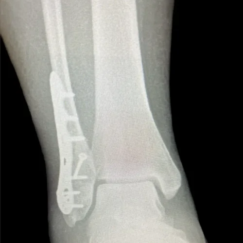
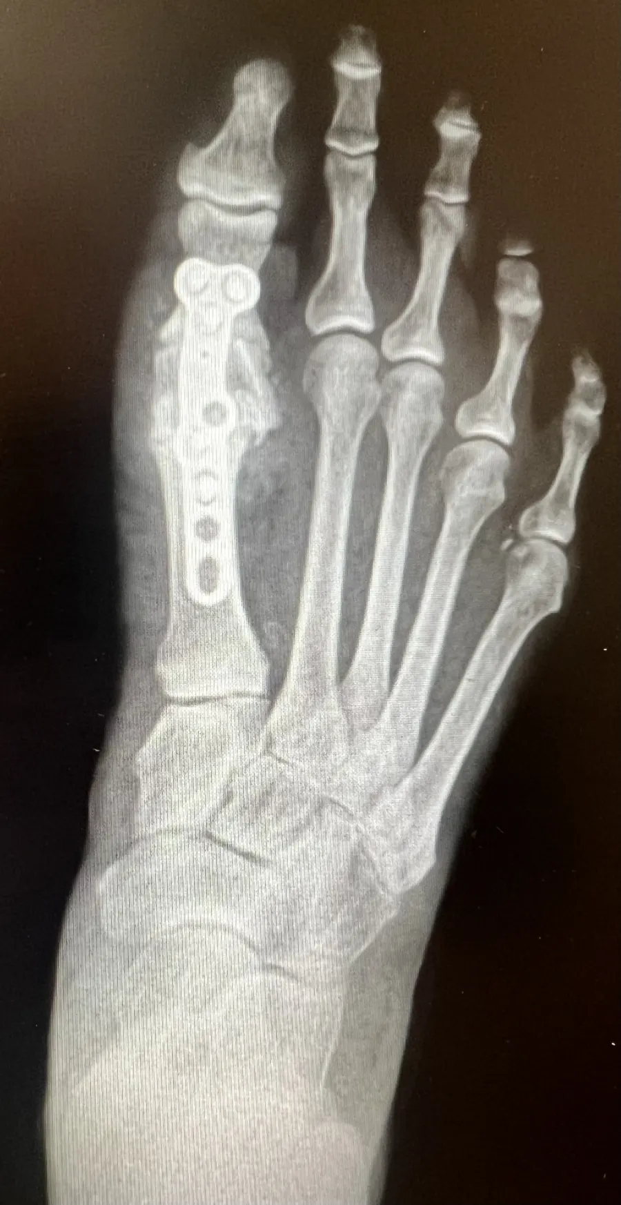
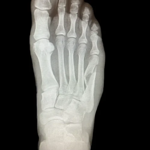
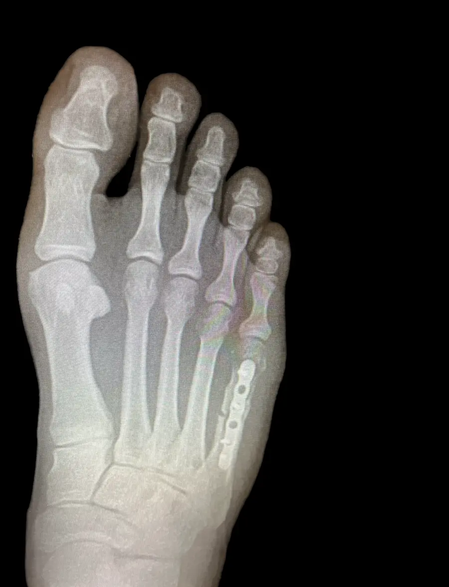
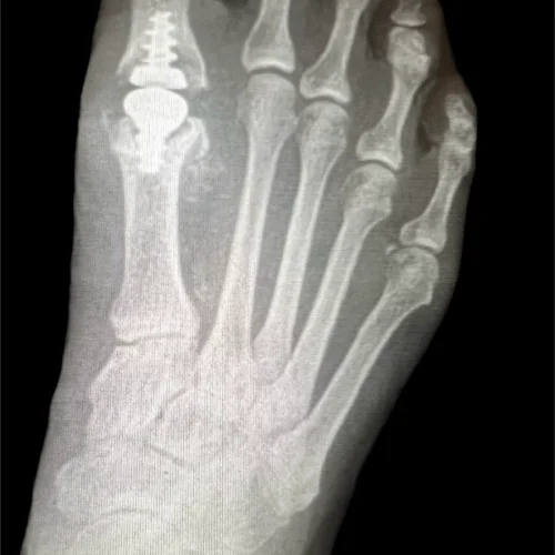
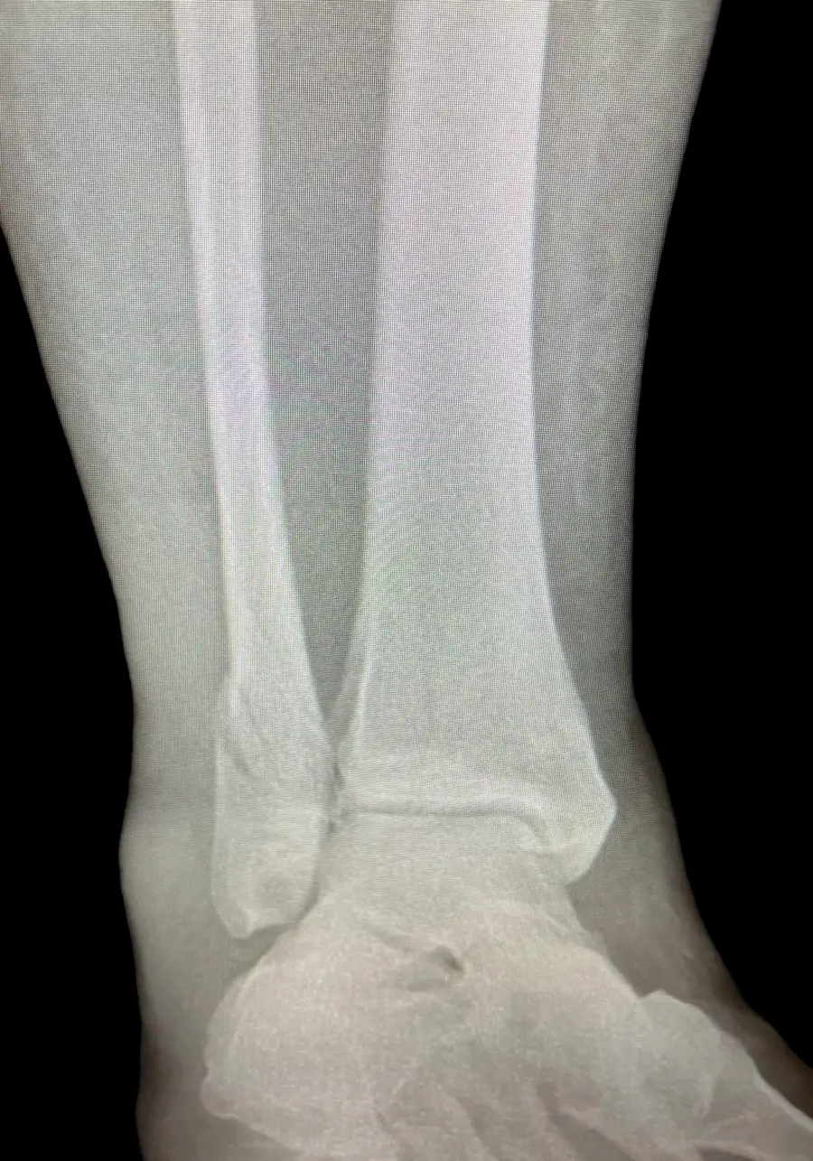
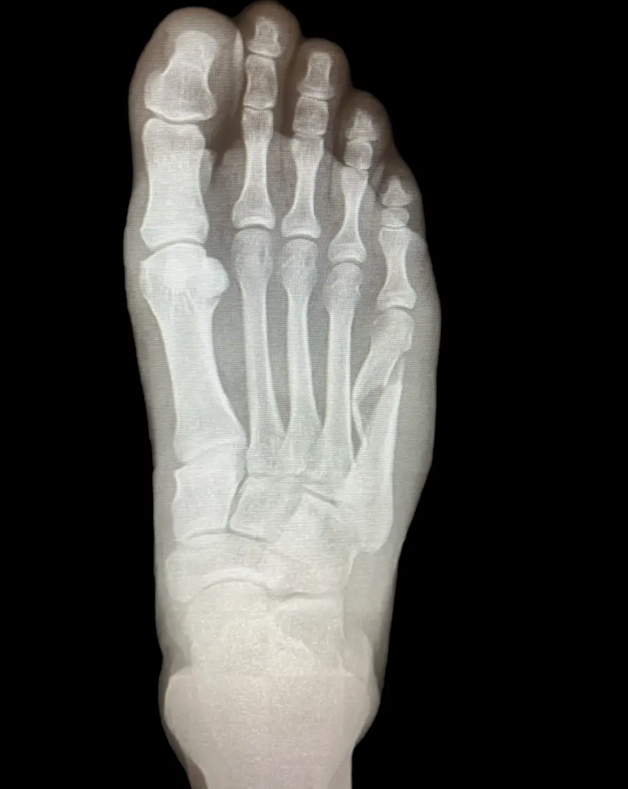
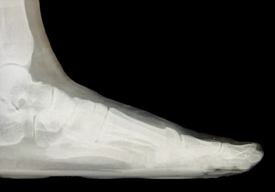
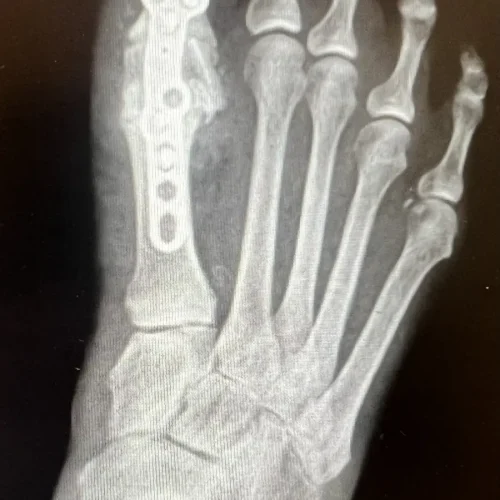
Our Case Study

Start Your Journey to Pain-Free Living Today

Experience expert, 1-on-1 care at Stepwell Institute and return to the activities you love with personalized treatment that delivers real results.

Prefer texting to talking on the phone? We’ve got you covered 24/7.

Get info and help via text for therapy options.